Casi Trattabili
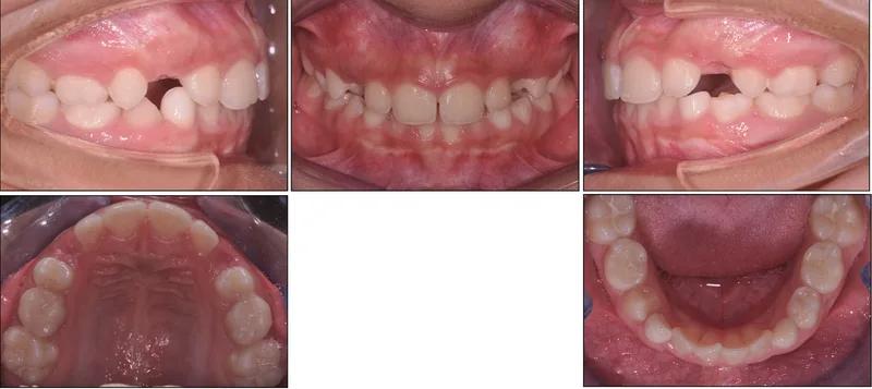
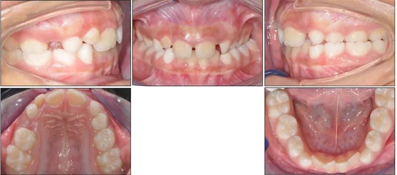
Palato Stretto
Il palato stretto è una condizione molto frequente nei bambini al giorno d'oggi e va trattato prima possibile. Spesso al palato stretto è associata una mancanza di spazio per gli incisivi laterali superiori.
I pazienti che hanno un palato stretto possono anche avere problemi di respirazione durante la notte. Spesso questa condizione richiede il trattamento con l'espansore palatale o disgiuntore, un'apparecchiatura fissa che agisce sulla sutura palatina.


Perché trattare il palato stretto precocemente
Mancanza di spazio
Un palato stretto causa spesso affollamento dentale e mancanza di spazio per gli incisivi laterali superiori. La correzione precoce può evitare estrazioni future.
Problemi respiratori
Un palato ristretto riduce il volume delle vie aeree nasali, favorendo la respirazione orale e i risvegli notturni. L'espansione migliora significativamente la qualità del respiro.
Il momento giusto
L'espansione palatale è più efficace prima della fusione della sutura palatina mediana, che avviene nella tarda adolescenza. Prima si interviene, migliori i risultati.
Espansore palatale
Il disgiuntore è un'apparecchiatura fissa che viene attivata gradualmente per ampliare la mascella superiore, sfruttando la plasticità ossea tipica dell'età evolutiva.
Sospetti che tuo figlio abbia il palato stretto? Un controllo ortodontico precoce può fare la differenza. Per approfondire il trattamento, scopri anche la pagina dedicata all'espansore palatale.