Casi Trattabili
Morso Aperto
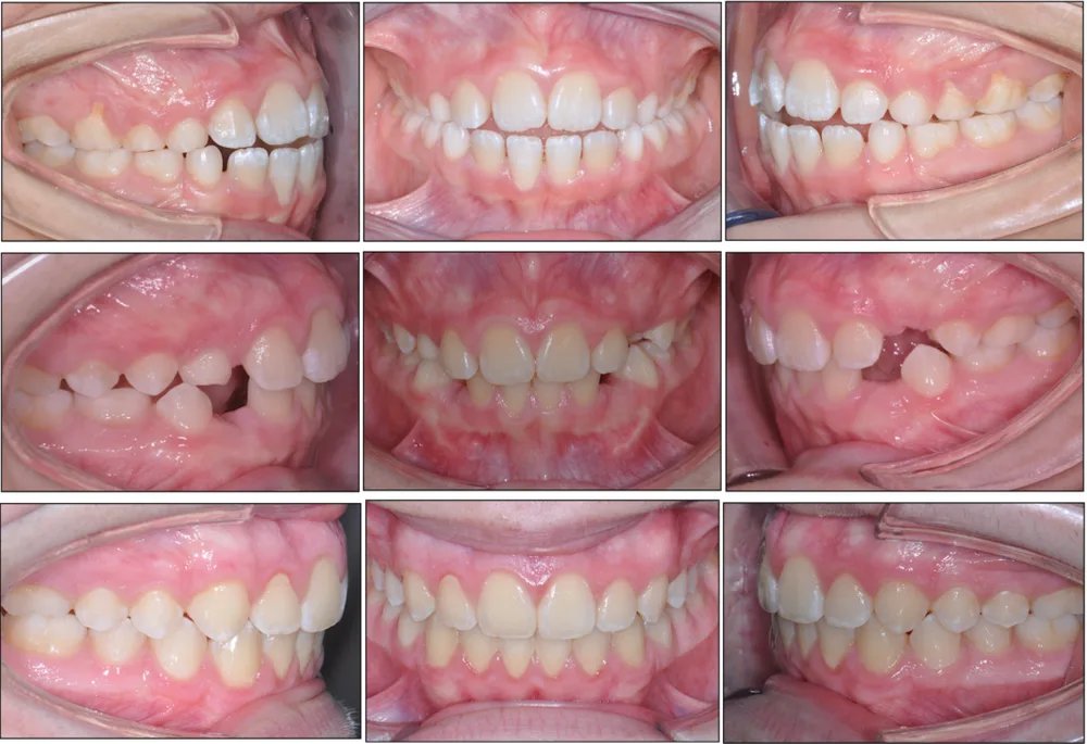
Il morso aperto anteriore rappresenta una condizione in cui i denti superiori non toccano con i denti inferiori. Questa caratteristica dento-scheletrica è spesso associata a problemi di respirazione, deglutizione e fonazione.
Il trattamento non va rimandato al cambio dei denti. Spesso ci avvaliamo di una collaborazione con logopedisti e otorini per affrontare le cause profonde e garantire risultati stabili nel tempo.

Cause e approccio terapeutico
Cause frequenti
Respirazione orale cronica, abitudine al succhiotto o al pollice prolungata, e problemi di deglutizione atipica sono tra le cause più comuni del morso aperto.
Approccio interdisciplinare
La collaborazione con logopedisti e otorini è spesso fondamentale per trattare le cause profonde (respirazione, deglutizione) e garantire la stabilità del risultato.
Timing del trattamento
Non bisogna aspettare il cambio di tutti i denti. Intervenire in fase precoce, quando le abitudini viziate sono ancora attive, rende il trattamento più efficace.
Stabilità a lungo termine
Eliminare le cause (respirazione orale, deglutizione atipica) è essenziale per mantenere nel tempo i risultati ottenuti con il trattamento ortodontico.
Se il tuo bambino respira con la bocca aperta o ha difficoltà di deglutizione, potrebbe beneficiare di una valutazione ortodontica precoce. Contattami per una consulenza.