Casi Trattabili
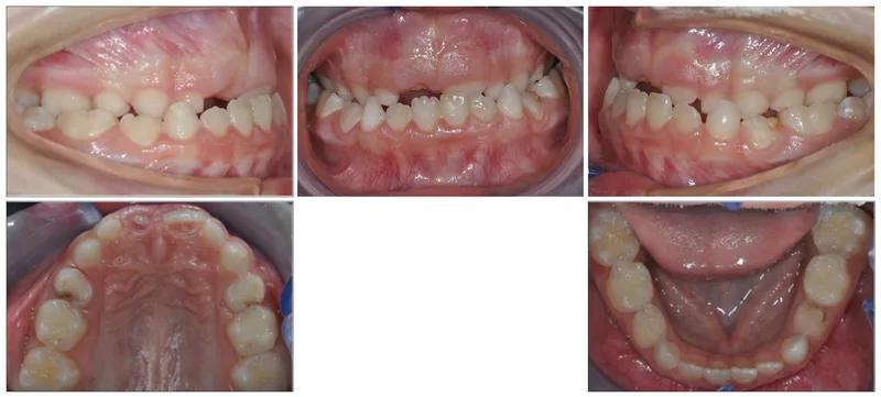
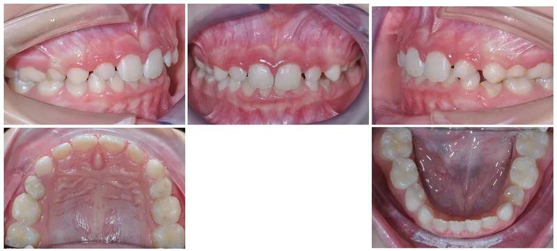
Morso Inverso
Il morso inverso o morso crociato anteriore rappresenta una condizione in cui i denti superiori chiudono all'interno dei denti inferiori. È spesso sintomo di un problema scheletrico più importante chiamato malocclusione di III Classe.
Questa caratteristica scheletrica, spesso ereditaria, richiede un trattamento precoce. I piccoli pazienti vanno visitati fin da subito senza aspettare il cambio dei dentini da latte. Questo tipo di problema richiede spesso trattamenti in più fasi da rivalutare nel tempo durante la crescita.


Perché è importante intervenire presto
Componente ereditaria
La malocclusione di III Classe è spesso trasmessa in famiglia. Riconoscerla precocemente permette di intercettare il problema prima che si aggravi.
Trattamento precoce
Non bisogna aspettare il cambio dei denti da latte. Intervenire in fase di dentizione mista consente di sfruttare la crescita ossea a vantaggio del paziente.
Apparecchiature disponibili
Diverse sono le apparecchiature che si possono utilizzare: maschere facciali, espansori, bite planes e apparecchi funzionali, scelti in base all'età e alla gravità.
Trattamento multifase
Questo tipo di problema richiede spesso trattamenti in più fasi da rivalutare nel tempo durante la crescita, fino al completamento dello sviluppo scheletrico.
Hai notato che il tuo bambino chiude i denti in modo anomalo? Non aspettare: il trattamento precoce del morso inverso è molto più efficace. Contattami per una valutazione.