Casi Trattabili
Denti Inclusi
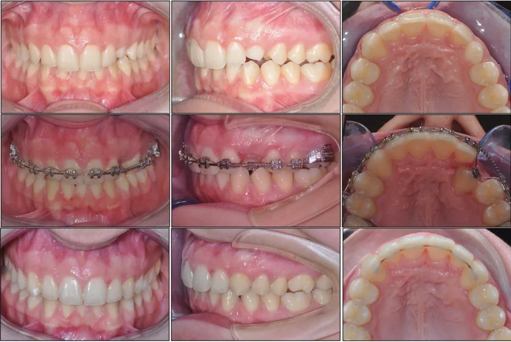
A volte capita che dei denti permanenti non riescano ad erompere da soli. Spesso questo problema riguarda i canini permanenti, che erompono attorno ai 10-13 anni. In questi casi è importante una diagnosi precoce.
Spesso sono necessari apparecchi ortodontici per poter aiutare questi denti a ritrovare la loro strada. In alcuni casi è necessaria anche una piccola collaborazione chirurgica per esporre il dente e applicarvi un attacco ortodontico.


Diagnosi e gestione dei denti inclusi
Diagnosi precoce fondamentale
Una radiografia panoramica effettuata attorno ai 9-10 anni permette di identificare precocemente i canini a rischio di inclusione e di intervenire tempestivamente.
I canini: i più coinvolti
I canini superiori sono i denti più frequentemente inclusi. Hanno un percorso eruttivo lungo e complesso, e possono deviare assorbendo le radici degli incisivi vicini.
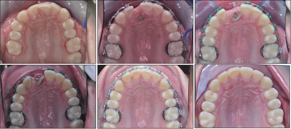
Trazione ortodontica
Una volta esposto chirurgicamente il dente incluso, si applica un attacco ortodontico che permette di guidarlo gradualmente verso la sua posizione corretta nell'arcata.
Collaborazione ortodontico-chirurgica
Il trattamento richiede un lavoro di squadra tra l'ortodontista e il chirurgo orale, con tempistiche pianificate con cura per ottimizzare il risultato.
Se tuo figlio ha 9-10 anni e non sono ancora comparsi i canini, potrebbe essere utile una radiografia di controllo. Contattami per una valutazione.